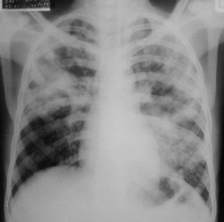
Impaired gas exchange related to brain injury





Recognizing neurotoxicity: the symptoms.
Impaired gas exchange related to brain injury
Respiratory ResearchNursing Care Plan: impaired Memory Definition: Inability to remember or recall bits of information or behavioral skills Related Factors Hypoxia;
01.03.2006 · Free Online Library: Recognizing neurotoxicity: the symptoms of brain injury from exposure to hazards like lead paint and toxic chemicals vary widely. But
IMPAIRED VERBAL COMMUNICATION. DEFINITION. Decreased, delayed, or absent ability to receive, process, transmit, and use a system of symbols. DEFINING CHARACTERISTICS
Recognizing neurotoxicity: the symptoms.
IMPAIRED MEMORY. DEFINITION. Inability to remember or recall bits of information or behavioral. skills. DEFINING CHARACTERISTICS • Inability to determine whether a
Causes of Impaired Gas Exchange
Impaired gas exchange related to brain injury
Nursing diagnosis – IMPAIRED VERBAL.
03.02.2012 · Traumatic brain injury (TBI) is a major medical and socio-economic problem, and is the leading cause of death in children and young adults. The critical
Respiratory Research is an open access journal aiming at publishing high-quality science in all areas of respiratory disease. Topics of specific interest include
Nursing Care Plan: impaired Memory |.
Acute head injury result from a trauma to the head leading to brain injury or bleeding within the brain, It's can make edema and hypoxia. Head injury cases is the
Critical care management of severe.
.